Frontier Dental

No Teeth to Teeth

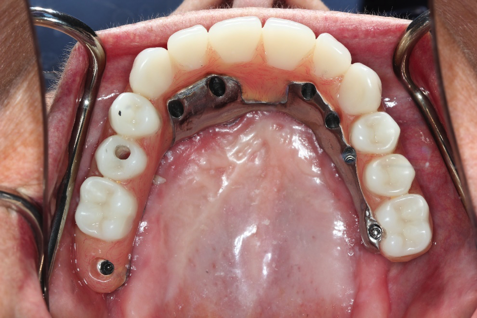
This patient came to us with a broken denture and bar. She wanted teeth that would make her smile again. We fabricated her a new bar that attached to her implants and placed teeth on them. This is a permanent bridge that is made of titanium and acrylic.

Related Services:

Implants
Getting an appointment is fast and easy!
If you have difficulty using our website, please email us or call us at (330) 952-2015
View the ADA Accessibility Statement