Frontier Dental

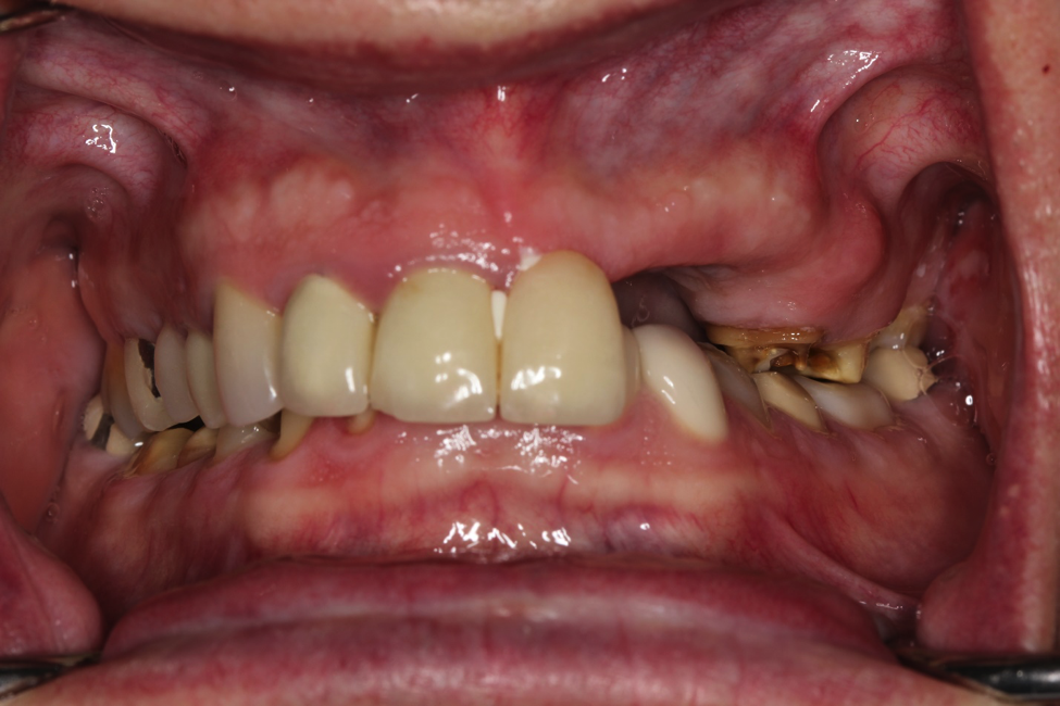
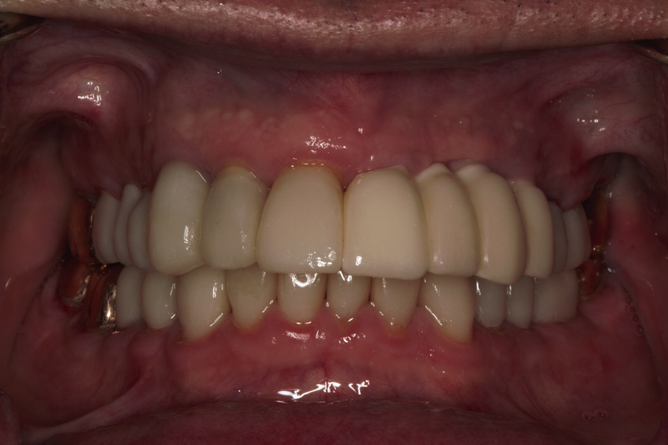
My teeth are Completely Worn!

This patient came to us with several completely worn teeth. He also had some teeth missing. We had to do several things to ensure we could make him teeth that looked and felt normal. He had to undergo both periodontal surgery and implant surgery. We then restored his smile with crowns and implant crowns. He loves his new teeth.

Related Services:

Implants
Still need an appointment?
If you have difficulty using our website, please email us or call us at (330) 952-2015
View the ADA Accessibility Statement