Frontier Dental

New Smile with Implant Dentures in Medina, OH

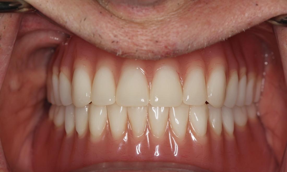
This patient came to us because he wanted to have implant dentures made as he was having no success with his dentures of several years. With this patient, we worked with a local oral surgeon to have the implants placed and we made him his final denture teeth. He has been very happy with the results!

Related Services:

Implants
Have Questions? Get in Touch
If you have difficulty using our website, please email us or call us at (330) 952-2015
View the ADA Accessibility Statement