Frontier Dental

I Want a Natural Looking Front tooth!

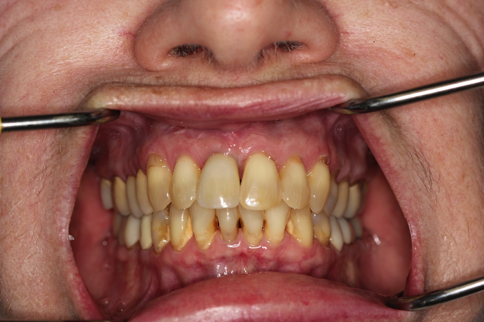
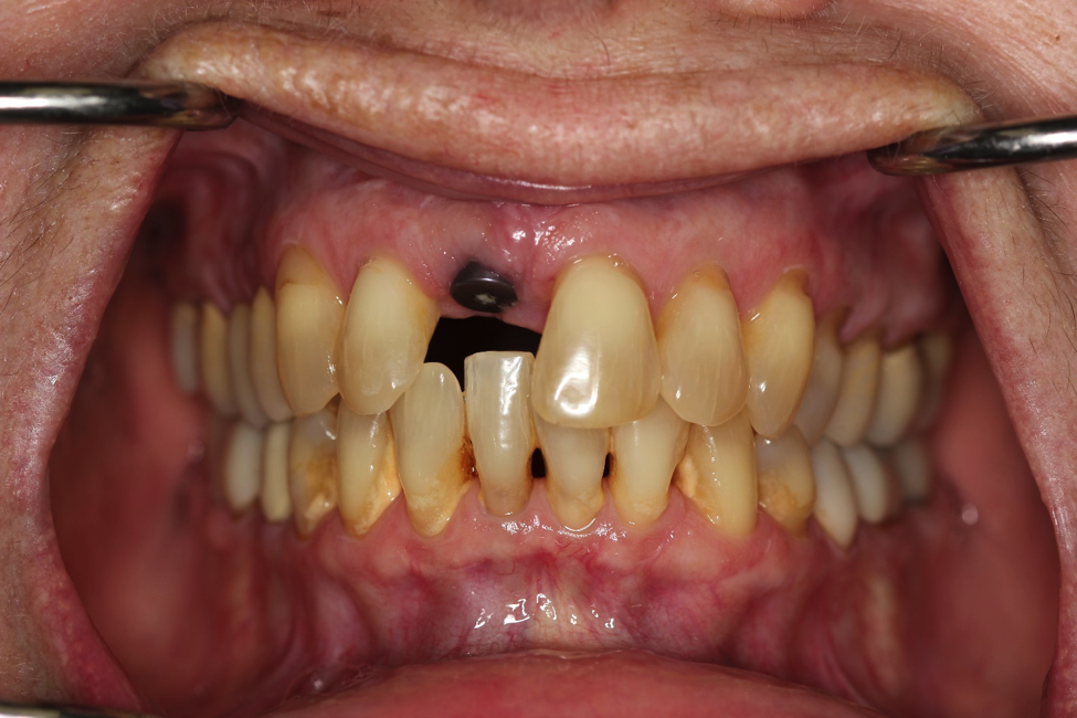
This patient came to us after she had implants placed. She was very nervous and she wanted a implant crown made that matched her teeth as much as possible. We customized the tooth shape and color to exactly how she wanted it. This was a great result for a great patient! She is now coming back to us for her cleaning and regular check up, including some small fillings that she needs to have done.

Related Services:

Implants
Getting an appointment is fast and easy!
If you have difficulty using our website, please email us or call us at (330) 952-2015
View the ADA Accessibility Statement