Frontier Dental

Missing Teeth since Birth

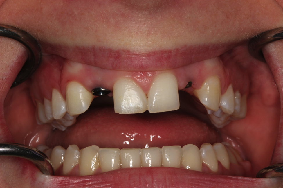
This patient came to us because she never had lateral incisors and she was missing these teeth since birth. This is quite a common problem in a certain subset of patients. This patient's smile was restored using implants and implant crowns. When she walked into the office she was wearing a flipper.

Related Services:

Implants
Getting an appointment is fast and easy!
If you have difficulty using our website, please email us or call us at (330) 952-2015
View the ADA Accessibility Statement