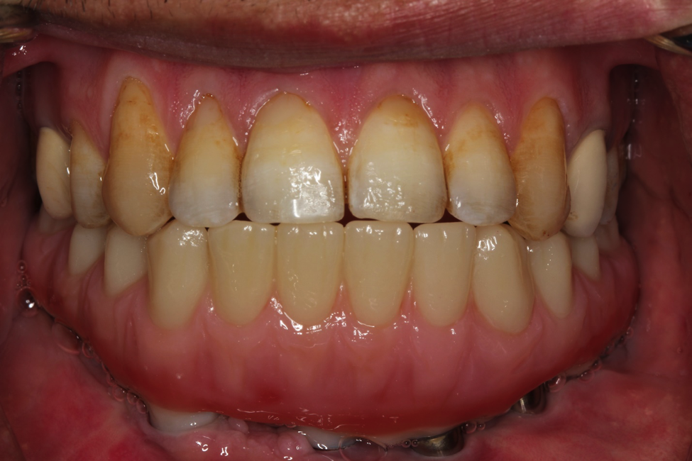
This patient has his entire jaw removed. He had part of his leg transplanted in his jaw and he came to us for implants and crowns. We placed implants in his jaw and made him fixed implant bridges. He traveled to us from Kuwait to have this done.
This patient has his entire jaw removed. He had part of his leg transplanted in his jaw and he came to us for implants and crowns. We placed implants in his jaw and made him fixed implant bridges. He traveled to us from Kuwait to have this done.