Frontier Dental

Lost my Front Teeth and Jaw!

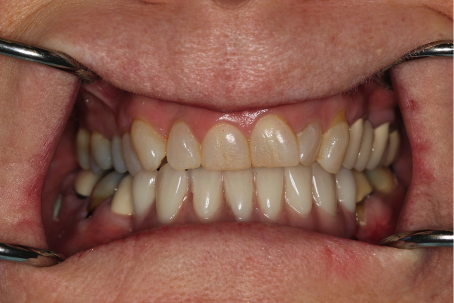
This patient lost her front teeth and jaw from an amelobastoma. She had extensive surgery and was at the end of her rope until she found that we were able to help her. We were able to restore her smile with implants and an implant bridge. She now looks great and has a functional smile.

Related Services:

Implants
Getting an appointment is fast and easy!
If you have difficulty using our website, please email us or call us at (330) 952-2015
View the ADA Accessibility Statement