Frontier Dental

Jaw Surgery Patient!

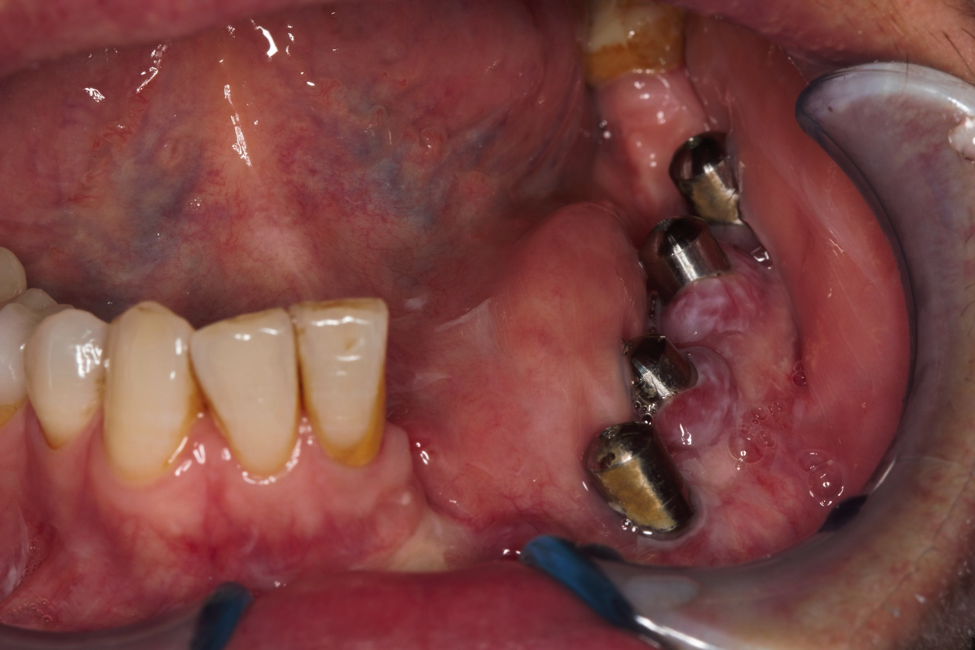
This patient had to undergo jaw surgery and he lost a lot of his teeth and bone. We managed to place implants in his bottom jaw and restore him with an implant-supported denture to give him his lost teeth, bone, and tissue back. This was a very challenging case from start to finish!

Related Services:

Implants
My experience with Dr. K and Ann during my implant treatments was great

My experience with Dr. K and Ann during my implant treatments was great.  Their ability to listen and understand my perspective and laying out a treatment plan for multiple implants went very well.  Dr. K has a great chair side manner. Ann does a wonderful job following up with any and all questions and also assisting Dr. K.    I highly recommend.

Ready to book an appointment?
If you have difficulty using our website, please email us or call us at (330) 952-2015
View the ADA Accessibility Statement