Frontier Dental

Implant Dentures

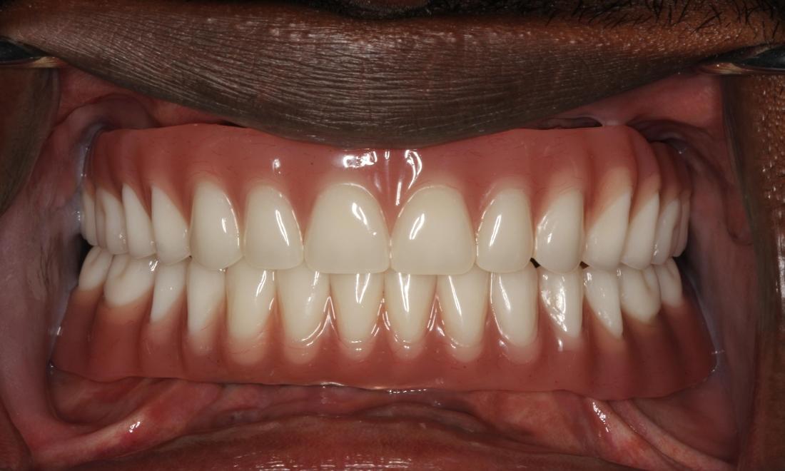
Patient presented post trauma surgery and requested teeth. He did not have enough bone to make him conventional dentures. he opted for implant overdentures and we placed 4 in the top Jaw and 4 in the bottom jaw. We got a great result that he was happy with.

Related Services:

Implants
Have Questions? Get in Touch
If you have difficulty using our website, please email us or call us at (330) 952-2015
View the ADA Accessibility Statement