Frontier Dental

Implant Dentures, Medina OH

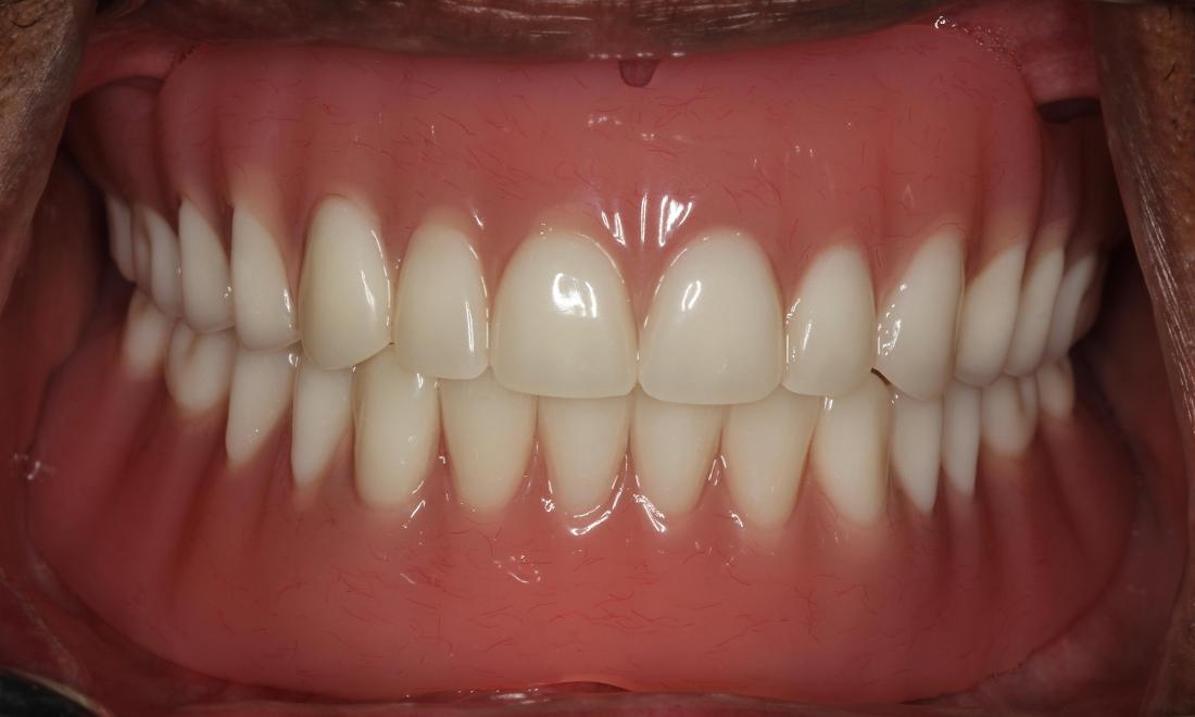
This patient came to us because he had been wearing dentures that he was not happy with. He hated that his palate was covered and that he could not taste his food. We placed 4 implants in his top jaw and two implants in his bottom. We were able to now make him dentures that snapped to his implants and they did not need to be covered with a palate anymore. He is able to eat, speak and talk more comfortably and loves his new implant dentures.

Related Services:

Implants
Ready to book an appointment?
If you have difficulty using our website, please email us or call us at (330) 952-2015
View the ADA Accessibility Statement