Frontier Dental

Not Happy with Old Dentures

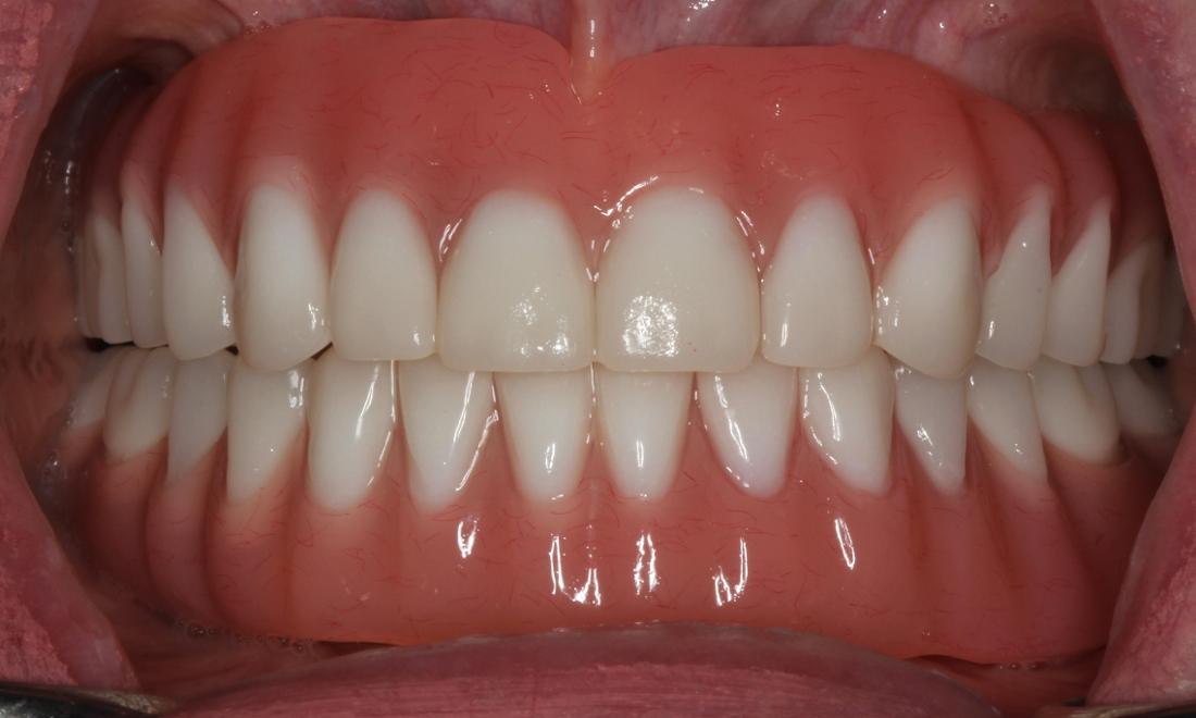
This patient came to us because she was not happy with her dentures and her implant dentures. We made her a prosthesis that she now uses and is very comfortable with. She has told us on several occasions that she feels like she has the same teeth she did when she was in her 20's.

Related Services:

Implants
Not finding what you need?
If you have difficulty using our website, please email us or call us at (330) 952-2015
View the ADA Accessibility Statement