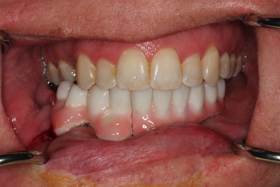
This patient had been shot in the face and lost her bottom jaw. Her jaw was reconstructed from her leg. We placed several implants in her lower jaw and then made and placed two separate implants bridges. She was so grateful as she could smile again!
This patient had been shot in the face and lost her bottom jaw. Her jaw was reconstructed from her leg. We placed several implants in her lower jaw and then made and placed two separate implants bridges. She was so grateful as she could smile again!