Frontier Dental

Collapsed Bite Restored!

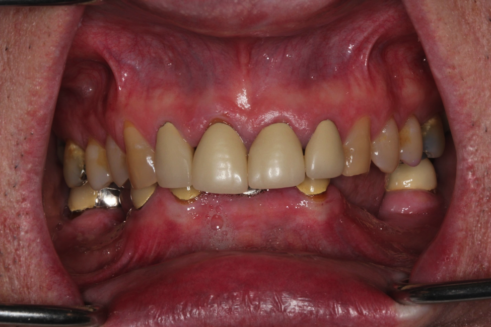
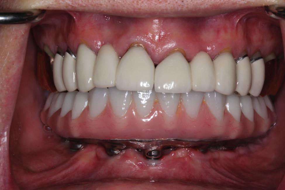
This patient presented to us with a collapsed and deep over bite. He was also missing several teeth and needed the help of a prosthodontist. This treatment took almost two years to complete and the results are quite extreme as you can see. We completed a full mouth of crowns on the top jaw, placed six implants on the bottom jaw, and made him a fixed implant bridge.

Related Services:

Implants
Have Questions? Get in Touch
If you have difficulty using our website, please email us or call us at (330) 952-2015
View the ADA Accessibility Statement