Frontier Dental

From the Bahamas!

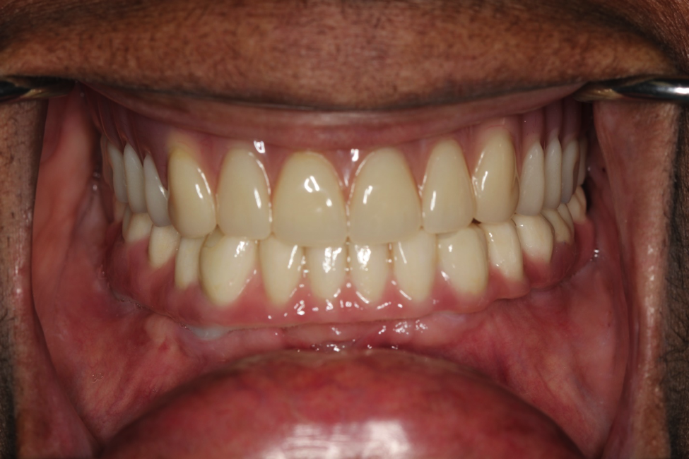
This patient is from the Bahamas and travels to see us for her care. She had dentures made but wanted something that felt solid and looked better. We placed 5 implants in her maxilla and 5 implants in her mandible and restored her with fixed ceramic bridges and with implants dentures. Looking great!

Related Services:

Implants
Still need an appointment?
If you have difficulty using our website, please email us or call us at (330) 952-2015
View the ADA Accessibility Statement