Frontier Dental

All-on-X Full Arch Screw in Bridges

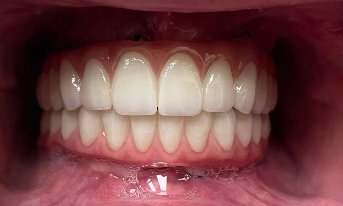
This patient arrived at Frontier Dental and requested a full mouth of Dental Implants accompanied with Screw in Dental Bridges. Our team was able to create the smile this patient has always dreamed of. Do you want to learn how Dental Implants in Medina, OH could be helpful for you? Call Frontier Dental today to schedule a consultation.

Have Questions? Get in Touch
If you have difficulty using our website, please email us or call us at (330) 952-2015
View the ADA Accessibility Statement