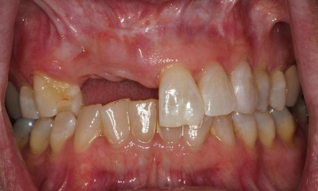
This patient came to us because she had surgery done on her top jaw due a condition called osteomyelitis. Her bone basically dies away and she had to have the dead bone removed. She needed teeth but was unable to have implants or a fixed bridge. We made her a removable partial denture and tired to match the teeth up as closely as we could and provided her with a pretty good result.
My experience with Dr. K and Ann during my implant treatments was great. Their ability to listen and understand my perspective and laying out a treatment plan for multiple implants went very well. Dr. K has a great chair side manner. Ann does a wonderful job following up with any and all questions and also assisting Dr. K. I highly recommend.
 
