Frontier Dental

Gun Shot Victim

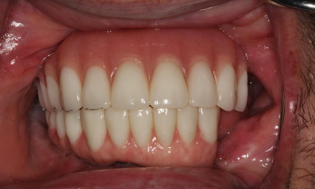
This patient was presented to Frontier Dental Care post gunshot and ENT reconstruction. We placed implant in a CBCT Guided fashion using scanning technology in both the top and bottom jaw. A top implant denture and a bottom all on 4 screw on bridge was made. Currently, this patient is functioning well and happy with improvement. 

Related Services:

All-on-4® Implants
Implants
My experience with Dr. K and Ann during my implant treatments was great

My experience with Dr. K and Ann during my implant treatments was great.  Their ability to listen and understand my perspective and laying out a treatment plan for multiple implants went very well.  Dr. K has a great chair side manner. Ann does a wonderful job following up with any and all questions and also assisting Dr. K.    I highly recommend.

Ready to book an appointment?
If you have difficulty using our website, please email us or call us at (330) 952-2015
View the ADA Accessibility Statement