Frontier Dental

Full mouth of Crowns!

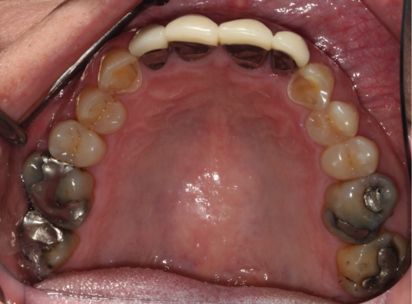
We took a patient that had several worn teeth and restored them back to shape with crowns. We chose metal crowns for this patient because he was a heavy grinder and metal crowns have been shown to be more beneficial than ceramic crowns for patients that grind their teeth.

My experience with Dr. K and Ann during my implant treatments was great

My experience with Dr. K and Ann during my implant treatments was great.  Their ability to listen and understand my perspective and laying out a treatment plan for multiple implants went very well.  Dr. K has a great chair side manner. Ann does a wonderful job following up with any and all questions and also assisting Dr. K.    I highly recommend.

Ready to book an appointment?
If you have difficulty using our website, please email us or call us at (330) 952-2015
View the ADA Accessibility Statement